Cabinet d'Orthodontie du Dr PIQUAND
Orthodontiste à Lyon 5ème
48 avenue du point du jour, 69005 Lyon
+33 4 78 25 89 81

Blog

Les gouttières invisibles

Les gouttières invisibles

Les aligners transparents, sont fabriqués sur mesure pour les dents de votre enfant. Plus confortable, ils s'adaptent au quotidien de votre enfant et ne pert...

Traitement par aligners (gouttières dentaires) pour enfants et adolescents

Traitement par aligners (gouttières dentaires) pour enfants et adolescents

Le traitement par aligners invisibles pour enfants et adolescents représente une solution moderne, esthétique et confortable pour corriger l’alignement denta...

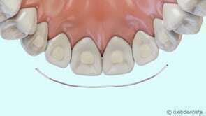
Fil de contention

Fil de contention

Traitement multi-attaches

Traitement multi-attaches

Le quad helix : traitement du palais et de l’alignement des dents

Le quad helix : traitement du palais et de l’alignement des dents

Orthodontie : la traction d'une canine palatine incluse

Orthodontie : la traction d'une canine palatine incluse

Affichage des articles 1-6 sur 86

Création par Webdentiste

Connexion